Hay momentos que nos hacen recordar logros anteriores de nuestras vidas.
Hace pocos días tuve la visita de una paciente que no veía hace algunos años. Paciente que fue intervenida por mí hace ya casi 3 años y que en su momeneto compartí en medios digitales.
Quiero compartirlo hoy nuevamente pero con un detalle especial, la evolución que nuestra paciente ha tenido en estos casi tres años.
En aquel tiempo, se dijo:
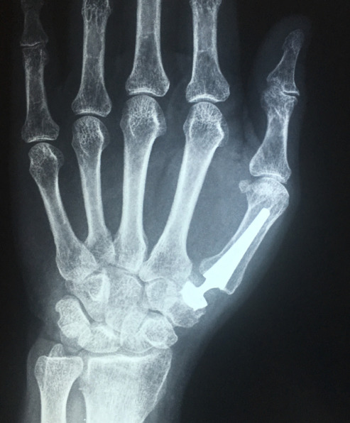
“Como siempre a la vanguardia de la ortopedia especializada en el país, hoy 7 de Abril del 2015 el Dr. Fidel Cayón se convirtió en pionero en el país en colocar una prótesis trapeciometacarpiana.
Esta prótesis busca aliviar el severo dolor de la base del pulgar que se produce por el desgaste articular de la misma (artrosis). Al momento, en el país son muchos los pacientes que presentan un cuadro intensamente doloroso de esta zona que permite la movilidad adecuada del dedo mas importante de la mano, dolor que incluso llega a impedirles la escritura.
Esta prótesis se presenta como una gran posibilidad de recuperación de movilidad y alivio lo que permite a nuestros pacientes recuperar la funcionalidad del dedo mas importante de su mano.
La Rizartrosis, artrosis de la base del pulgar o artrosis trapeciometacarpiana es uno de los procesos mas dolorosos que se presentan en mano: es muy incapacitante y bastante más común de lo que podríamos creer.
Se presenta generalmente en pacientes que trabajan mucho con sus manos y debido al uso frecuente y constante del computador y los teléfonos inteligentes ha ido presentando un incremento paulatino en la población que cada vez presenta este diagnóstico de manera más temprana.
La sintomatología que lo caracteriza es dolor especialmente a la movilidad del pulgar, dolor que va en incremento con el tiempo y la actividad llegando a ser incapacitante para actividades leves. Además del dolor, los pacientes se quejan de pérdida de la fuerza de su mano especialmente para hacer funciones de pinza y agarre de potencia por lo que la limitación de sus actividades se ve severamente afectada.
Actualmente en el país contamos con esta posibilidad de tratamiento, la cual es a la luz de la ciencia mundial, la mejor opción posible de tratamiento para la recuperación de la fuerza y movilidad de la mano y el Centro de Especialidades Ortopédicas (CEO) con sus supraespecialistas, se convierte hoy en el centro pionero en este tipo de tratamientos de actualidad mundial.»
Comparto las fotos de la paciente, tanto las que fueron tomadas en aquella época como las actuales, en que podemos ver la movilidad que ha alcanzado y como esta le ha permitido mantenerse en sus actividades habituales sin dolor.





